의료 전문 상담이 필요한 분들께 수의사가 직접 답변드립니다!
| No | 제목 | 작성자 | 날짜 | 답변 | 조회수 | |
|---|---|---|---|---|---|---|
| 480 | 수컷고양이(4살) 중성화6일차인데 |
|
전** | 2026.03.19 | 답변완료 | 40 |
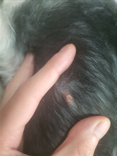
| 479 | 고양이 발톱 깨짐으로 인한 출혈 후 관리 |
|
김** | 2026.03.17 | 답변완료 | 42 |
| 478 | 수컷 강아지 젖이 부은거 같아요 |
|
서** | 2026.03.17 | 답변완료 | 48 |
| 477 | 안구돌출 | 류** | 2026.03.15 | 답변완료 | 44 | |
| 476 | 고양이 눈에 이물질 | 김** | 2026.03.14 | 답변완료 | 42 | |
| 475 | 먼치킨 2개월차 눈물 |
|
서** | 2026.03.14 | 답변완료 | 47 |
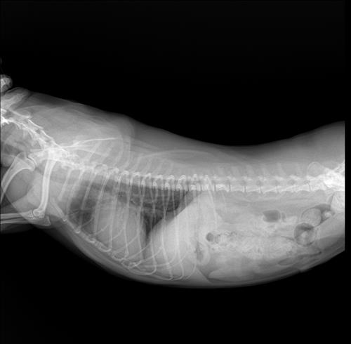
| 474 | 노견 소형견 말티즈17살 심한 복부 팽창시 수의사.. | 권** | 2026.03.14 | 답변완료 | 41 | |
| 473 | 2개월 강아지 지알디아 |
|
이** | 2026.03.13 | 답변완료 | 58 |
| 472 | 17살 노견 심한 복부팽창후 엑스레이 촬영도중 쇼.. |
|
권** | 2026.03.12 | 답변완료 | 70 |
| 471 | 간수치가 이렇습니다 사람먹는약중 이걸 먹어도될가요.. |
|
남** | 2026.03.12 | 답변완료 | 55 |