수의사 상담

의료 전문 상담이 필요한 분들께 수의사가 직접 답변드립니다!

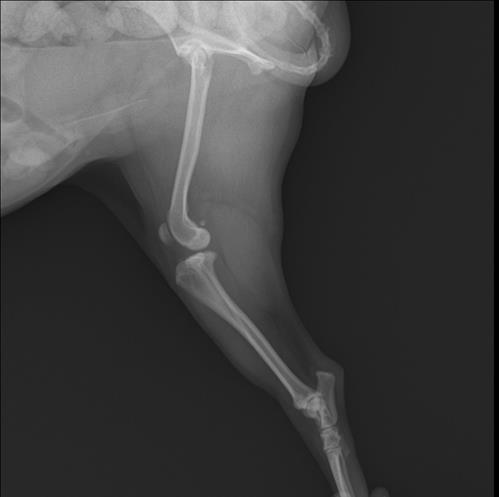
강아지 십자인대손상

  • 작성자 : 이**
  • DATE : 2026.01.26
  • HIT : 39



2016년생 10세 8kg 비숑입니다 
오른쪽 뒷다리를 서있을째 떨다가 이젠 깽깽이발을 하길래 근처 동물병원을 갔더니 십자인대가 손상됐다고 했어요 파열이 아니라 체중감량하고 약물 처방 해줬다는데 진통제라 치료의 개념은 아니라고 생각하는데 근본적인 치료는 수술이 맞을까요..?

힐동물병원(해운대) [2026.01.27] 힐동물병원(해운대) 상품 보기
안녕하세요 부산 힐동물병원입니다.
먼저 수술이 '당장 필수'라고 단정짓기는 어렵습니다. 손상된 십자인대가 자가 회복되지는 않겠지만, 완전 파열이 아닌 점과 나이 등을 고려하여 보존적인 치료를 일정 기간 시도해보는 것이라는 생각이 듭니다. (아이를 직접 진료한 것이 아니라, '그렇다'라고 단정적으로 말씀드리긴 어렵습니다)
다만, 깽깽이발이 지속되고, 약물을 중단하면 통증이 재발하고, 4~8주 이상 호전이 없다면 수술이 가장 현실적인 선택지가 될 가능성이 매우 높습니다. 

수의사 상담에 대한 답변은 아이를 직접 확인하지 못한 상태, 글로 확인한 증상과 사진으로만 판단한 일차적인 답변입니다.
실제 검사 결과에 따라 확진 내용이 달라질 수 있습니다.