수의사 상담

의료 전문 상담이 필요한 분들께 수의사가 직접 답변드립니다!

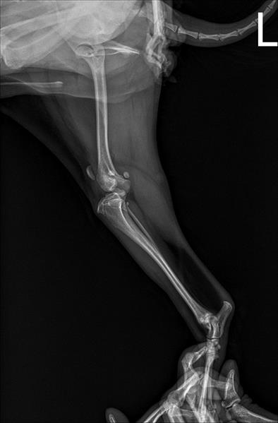
24년7월생 말티즈 3.4키로

  • 작성자 : 최**
  • DATE : 2025.12.16
  • HIT : 109
이제 1살인데 다리를 삐딱하게 집는것같아서
병원에한번가보니
​​병원원에 가보니 슬개골4기라고 하네요..
슬개골수술이아닌

왼쪽다리가 휘어서 각기수술을 얘기하는데.,
최선인건가요?
많이 안좋아 보이나요?
 
수술해줘야지 싶으면서도
인제 1살이고 잘 뛰고 걷는데
​​지금은 잘 걸어도 수술안해주면
곧 못 걸을수도 있다고 해서요...
괜히 수술잘못해줬다가 잘못될까봐...
너무 걱정이 되네요

수술잘하는곳 가라는데
너무 막막하네요...
아이엠동물병원(마포) [2025.12.17] 아이엠동물병원(마포) 상품 보기
안녕하세요 보호자님, 정형외과 전문 아이엠동물병원입니다.
엑스레이 사진으로만 봤을 때, 슬개골 탈구 4기와 대퇴골·경골의 각변형이 보입니다.
각변형은 쉽게 말해 다리 축이 틀어진 것인데, 이 구조에서는 슬개골이 제자리에 있기가 힘듭니다.

이런 경우 슬개골만 수술한다면 잠깐 좋아질 수 있어도, 다시 탈구될 가능성이 높습니다.
각기 수술은 뼈를 정상 축으로 바로잡아 슬개골이 빠질 이유 자체를 없애는 수술이라, 우리 아이의 경우 과하지 않고 오히려 정석에 가까운 선택일 수 있습니다.

나이가 어리고 지금 잘 뛰기도 하고, 큰 수술의 부담으로 많이 망설이시는 듯 합니다.
하지만 아이는 지금 체력과 근육으로 버티고 있는 중일 수 있습니다.
각변형이 있는 슬개골 탈구의 자연 호전은 거의 없고 나중에는 오히려 수술 난이도가 올라가고 회복률은 떨어질 수 있습니다.
1살이기 때문에 지금 수술하는 것이 오히려 예후가 가장 좋고, 어린 나이에 탈구 4기라면 오히려 뼈 변형과 기형도가 빠르게 심해질 수 있어 빠르게 교정하는 것이 권장됩니다.

수의사 상담에 대한 답변은 아이를 직접 확인하지 못한 상태, 글로 확인한 증상과 사진으로만 판단한 일차적인 답변입니다.
실제 검사 결과에 따라 확진 내용이 달라질 수 있습니다.