의료 전문 상담이 필요한 분들께 수의사가 직접 답변드립니다!





아래부터
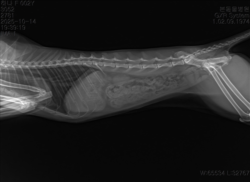
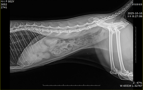
10.10/10.12/10.14일 엑스레이입니다
10월 10일 포도를 토해논후로 식욕저하 기력저하가 있어서 동물병원에 방문해서 엑스레이를 찍었는데 우선 지켜보자는 말과 소화제처방과 주사를 맞고 집왔습니다 그 후로도 안먹어서 12일에 동물병원에가서 혈액검사도 하고 수액도 맞았습니다 췌장쪽 수치가 좀 높아서 췌장쪽만 다시 검사했는데 수치는 괜찮았습니다 식욕촉진이랑 소화제처방 받아서 먹이는데 식욕저하도 여전하고 기력이 좀 없고 10일부터 14일까지 대변을 못보고있어서 14일에 병원에 가서 엑스레이랑 초음파를 했는데 장폐색일수도 있다는 말을 들었습니다 초음파상으로는 소장쪽 이물이 의심된다고 하셨어요ㅠ







우선은 그냥 집에 데려왔는데 집에오니까 밥도 조금씩 자주 잘먹고 드디어 오늘 아침에는 대변을 봤습니다 구토는 10일에 한번만 하고 아직까지 구토증상 없어요ㅠ 그리고 밥도조금씩 자주 먹더라구요ㅠ 원래가 먹는양이 많은 애는 아니었는데 예전에 비하면 먹는 횟수가 많아지고 한번 먹을때 양은 좀 작아지긴했어요ㅠ 장폐색으로 보이는지 여쭤보고싶어서 문의드립니다ㅠㅠ 저 혈액검사는 12일에 한거입니다 오늘 아침에 본 대변도 추가합니다ㅠㅠ 잘좀 봐주세요ㅠㅠ
플러스동물메디컬센터(영등포) 상품 보기